구강암이란…
구강암은 주로 입안과 위, 아래턱과 그 주변부에 발생하는 암으로 입안의 점막에서 발생하는 편평세포암이 가장 흔합니다. 이외에 침샘에서 발생하는 침샘암, 육종등이 발생할 수 있습니다. 입안에 생기는 부위에 따라 혀에 생기는 경우 설암, 잇몸에 생기는 경우 치은암 등으로 불리기도 합니다.
보통 50-60대에 가장 많이 발생하는 것으로 알려져 있습니다.
구강암의 정확한 원인은 알려져 있지 않습니다. 일반적으로 구강암의 위험요인으로는 흡연, 음주, 바이러스, 방사선, 자외선, 식습관, 영야결핍, 유전적 감수성등이 거로되고 있습니다.
| 구강암의 일반적 증상 |
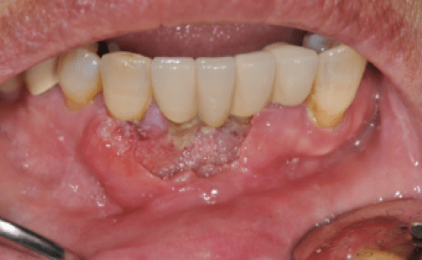
구강암은 다른 부위의 암과는 달리 대부분 육안으로 판별이 가능합니다. 따라서 병원에 구강암 검진을 위하여 정기적으로 내원하면 조기진단이 비교적 쉽습니다. 구강암을 가진 환자들의 주된 증상 중의 하나는 구강내의 병변으로 쑤시는 듯한 통증 때문에 병원을 찾는 경우가 많습니다. 그러나 초기 암의 경우는 통증이 없는 경우가 더 많기 때문에 통증의 유무가 구강암의 증상과는 반드시 연관선이 있는 것은 아닙니다.
- 입안이 헐었다.
혀나 볼점막, 입천장, 입술 등에 발생하는 궤양은 구내염 같은 염증성 병변이 가장 많아 1-2주 정도면 통증도 사라지고 궤양도 없어지지만, 3주 정도 지나도 없어지지 않는 궤양은 단순한 염증으로 보기 어렵기 때문에 조직검사를 받아보는 것이 좋습니다.
- 입안에 하얀 또는 붉은 병변이 있다.
구강내 점막에 지워지지 않는 백색 병소가 있는 것을 백반증이라고 하는데, 이러한 백반증이나 붉은 홍반증 등은 구강암으로 진행될 수 있는 병소로 필요한 경우 조직검사를 시행하여 정확한 감별을 시행하여야 합니다.
- 혀나 입안이 아프다.
통증은 초기암에 비해 진행암에서 많고 암조직에 염증이 심하면 2차적으로 통증을 유발할 수 있습니다. 하지만 입안에 생기는 많은 다른 질환들이 통증을 유발하기 때문에 감별이 필요합니다.
- 입안에 혹이 만져진다.
입안의 혹은 부위에 따라 암일 수도 있고 아닐 수도 있기 때문에 전문가의 진단이 필요합니다.
- 이가 갑자기 흔들리거나, 이를 뽑은 후 상처가 아물지 않는다.
잇몸질환(풍치)이 있을 경우 이가 흔들리지만, 전혀 증상이 없는 치아가 갑자기 흔들리면 암에 의해 잇몸이 갑자기 손상된 것일 수 있습니다. 또한 이를 뽑은 자리가 한달이상 아물지 않는 경우 검사가 필요합니다.
- 목에 혹이 만져진다.
구강암이 진행되면 주로 턱 아래의 림프절로 암이 전이되는데 이러한 경우 목에 혹이 만져지기도 합니다.
설암![]() |
치은암![]() |
구개암(입천정)![]() |
구강저암(혀아래)![]() |
| 구강암의 검사방법 |
구강암의 진단과 병기의 판정을 위해서는 아애의 검사들을 시행하게 됩니다. 조직검사에서 구강암으로 진단이 되면 구강암의 크기, 목 림프절 전이, 전신적 전이를 여부등을 검사하게 됩니다.
- 조직검사
- 방사선사진 검사
- 전산화 단층촬영 (CT 촬영)
- 자기공명영상(MRI)
- 핵의학 검사(뼈스켄)
- 목 초음파 검사
- 양전자방출 단층촬영(PET/CT)
전산화단층촬영 |
양전자방출 단층촬영 |
| 구강암의 병기 |
구강암의 진행단계를 나타내는 병기는 원발암의 크기나 목의 림프절 전이, 원격전이 여부에 따라 1,2,3,4기로 병기를 나누게 됩니다. 병기가 높아질수록 구강암이 진행된 정도를 나타냅니다.
| 구강암의 치료 |
구강암은 다른 암과 마찬가지로 초기에 발견될수록 기능장애도 최소로 하면서 완치의 가능성도 있습니다. 구강암 치료의 일차적인 목적은 암을 제거하고 재발률을 낮추는 것입니다. 또한 이와 함께 구강내 기능과 얼굴의 외형도 최소로 하고 음식을 먹고, 삼키고, 말하는 기능 등을 보존하도록 노력하고 있습니다.
구강암 치료방법을 결정하는 것은 병기, 연령, 전신상태, 결손부위 등을 고려하여 결정하게 됩니다. 수술이 가능한 경우 수술적 치료를 우선하게 됩니다. 진행된 암의 경우는 수술과 방사선 치료를 병용하여 치료하는 것이 완치율을 높일 수 있는 방법입니다. 약물을 사용하는 항암화학용법은 현재까지 구강암의 일차적인 치료방법으로 사용하지는 않으며, 부가적인 치료방법으로 사용되고 있습니다.
- 구강암의 수술
- 방사선 치료
- 항암화학요법
| 전완피판을 이용한 재건술
|
![]() |
| 구강암의 수술적 치료 |
구강암의 수술은 구강내의 암부위를 절제하고 필요한 경우 목의 림프절을 예방 혹은 치료적 목적으로 제거하거나, 구강의 재건술을 시행하여 말하고 먹고 씹는 기능 및 외관을 원래대로 유지하도록 시행됩니다.
- 암의 절제술
- 목의 림프절 절제술(경부청소술)
- 재건술
초기암의 경우 재건술이 필요하지 않지만, 광범위 절제술을 시행한 경우는 구강내 결손부의 일차 봉밥이 어려우므로 제거된 구강연조직을 대신하는 피부조직을 이식해야 합니다. 재건술에는 팔의 피부를 채취하는 유리전완피판술을 가장 많이 사용합니다.
또한 턱뼈가 연조직과 함께 절제된 경우는 주로 다리의 비골뼈와 피부를 이식하여 얼굴의 외형을 유지하기도 합니다.
입천장을 포함한 위턱뼈을 제거한 후에는 이식 수술보다는 특수틀니를 제작하여 기능을 회복하는 것이 보편적입니다.
| 방사선 치료 |
방사선치료는 수술과 함께 가장 많이 사용되는 치료방법입니다. 방사선 치료는 수술을 먼저 시행한 경우수술 후 4-6주정도 상처가 어느정도 치유된 후 시작하게 됩니다. 치료료기간은 1주일에 5회, 매일 방사선 조사를 하여 6-7주 정도 시행합니다.
| 구강암의 재발 및 전이 |
구강암의 병기가 진행될수록 재발의 가능성이 커지게 됩니다. 모든 사람이 재발하는 것은 아니지만, 일단 재발이 되면 대부분 수술 후 2년 내에 발생하게 됩니다. 이후에도 재발의 가능성은 있지만 시간이 흐르면서 가능성은 감소하기 때문에 보통 5년 정도 재발이 없었다면 일반적으로 암이 완치되었다고 생각합니다. 전이가 발생하는 경우가 있으며, 가장 흔한 부위는 폐이며, 그 다음으로는 간, 뼈 등이나 다른 모든 신체부뷔로도 전이가 될 수 있습니다.
재발암의 경우에도 조기에 발견하면 치료의 가능성이 높아져 정기적으로 내원하는 것이 가장 중요합니다. 환자의 상태에 따라 내원 주기가 다르지만 일반적으로 다음과 같이 권장하고 있습니다.
- 수술 후 첫 1년 : 1-3개월 마다
- 수술 후 2년째 : 2-4개월 마다
- 수술 후 3-5년째 : 4-6개월 마다
- 수술 후 5년 이후 : 6-12개월 마다




전산화단층촬영
양전자방출 단층촬영
