Covid19은 많은 것을 멈추게 하고 잊어버리게 만들었습니다. 외부 활동을 멈추고 안으로의 내실을 다지는 시기가 될 수 있었을 것 같은데 의외로 외부 활동의 제한이 내부적인 활동도 멈추게 하는 효과가 있으리라고 생각하지 못했습니다. 멈춰버렸던 2019년의 시계를 다시 돌리는 준비를 시작해야 할 것 같습니다.
[카테고리:] 구강암
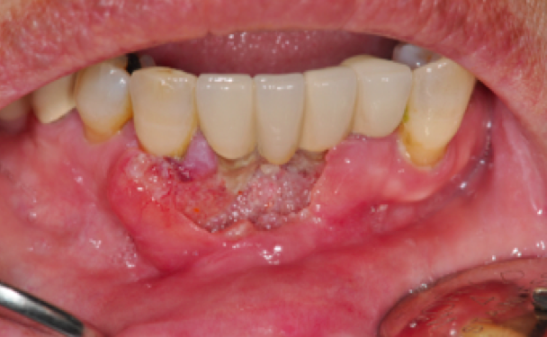
구강암환자의 방사선치료 후 구강건조증
구강암 환자는 방사선 치료를 같이 받는 경우가 많다. 침샘에 대한 방사선영향을 최소화 하려는 노력에도 불구하고 방사선치료 후 침의분비가 줄어드는 구강건조증상이 나타나는 경우가 많다. 많은 환자들이 물을 들고 다니며 자주 마셔야 한다고 이야기 하며, 밤에 목이 말라서 일어나는 경우가 많다는 증상을 호소한다. 인공타액등이 있으나 비용이 효과적인 면에서 불편해 하는 환자분도 있다. “Pilocarpine”약제가 도움이 되는 환자분도 있고 환자가 조절에서 쓰면 효과적인 경우도 많다. 우선 방사선치료후의 구강건조증에 대해서는 약가가 보험이 되기 떄문에 구강암환자의 방사선치료 후 구강건조증에 사용해서 환자가 불편감이 덜하다고 한다면 사용하는 것도 도움이 될 수 있다.
2017 구강암증례 토론회
구강암증례 토론회는 전국의 구강악안면외과에서 최근의 구강암 환자 case를 같이 토론하거나 최신 지견을 나누는 meeting으로 일년에 두번씩 각 지역별로 돌아가며 진행되고 있다.
올해는 경북대 구강악안면외과에서 열렸으며, 80명 정도가 참여하여 증례 토론 및 작연에 출간된 AJCC cancer staging 8th edition에 대해 상의를 하였다.


TNM Classification of Malignant Tumours – 8th edition Dec.2016
2018년 3월 29일 정오표 (3rd print에 대한 수정) download
AJCC Cancer Staging from Supplement Download :
AJCC 8th ed. cancer staging
2016년 10월 Springer출판사를 통해 AJCC 8th edition cancer staging manual이 발간이 되었다. “a bridge from Population-based to a more ‘personalized’ approach to cancer staging” 이라는 비젼을 걸고 진행된 프로젝트로 AJCC(American Joint Committee on Cancer)의 공식홈페이지(cancerstaging.org)에서는 원래 2017년 1월 1일 부터 적용하기로 한 새로운 병기설정시스템의 시행을 2018년 1월 1일로 연기 한다는 이야기와 함께, 2017년 12월 31일까지는 7판의 기준을 적용하는 것으로 공지하고 있다. 공식적으로는에러를 계속 수정하고 있지만, 그 오류가 심각하지는 않아2016년 말에 출판한 책자에 대해 새로 인쇄를 하지 않을 것이지만, API를 통한 전자등록 방법을 적용하기에 앞서 미국내 여러기관들 (National Cancer Institute (NCI-SEER), Centers for Disease Control and Prevention (CDC), the College of American Pathologists (CAP), the National Comprehensive Cancer Network (NCCN, the National Cancer Data Base (NCDB), and the Commission on Cancer (CoC))과 상의하여 실무적인 조율이 필요하다는 판단하에 2018년 1월부터 새로운 병기를 적용하는 것으로 결정하였다고 공지하고 있다. 여기서는 8판에서 바뀐 기준과 cancer staging의 paradigm shift에 대해 이야기하고자 한다.
(1) AJCC staging system
TNM 분류의 개념은 1940년대 Pierre Denoix에 의해 처음으로 개발되었다. 1959년에 결성된 AJCC는 1977년 처음으로 cancer staging manual을 출간하였다. 서론에서 스위스 제네바에 본부를 두고 있는 the International Union Against Cancer (Union Internationale Centre le Cancer, UICC) 에서 출판한 TNM classification of malignant tumor에 부합하여 분류체계를 만들려고 하였다고 기술하였으며 1983년 2판에서 UICC의 TNM committee에 의해 제란된 병기에 따라 구상하게 되었다. 2002년의 6판에서 몇가지의 비해부학적인 요소들을 추가하였고, 2009년 7판에서 더 많은 비해부학적인 표지자들을 확대하여 포함시키게 된다.
TNM system 에 의한 병기분류의 의의는
- readily communicated to others
- to assist in decisions regarding treatment
- to be a facor in judgement as to prognosis
- comparing like or unlike groups of cases
에 있기 때문에 초판에서 8판까지의 개정은 이전 분류법으로부터의 일관성을 유지하면서 데이터로부터 새로 발견된 요소들을 적용시키는 것의 균형을 잘 유지하는 것이 중요하다고 할 수 있다. 구강암은 다른 암에 비해 수술에 의한 치료의 비중이 높기 때문에 비교적 병리학적인 확인이 가능한 데이터가 많기 때문에 다른 암에 비해 표준적인 데이터를 많이 얻을 수 있는 장점을 지니고 있다.
8판에서는 18개의 Expert panel을 통해 해부학적인 부위별로 구분하여 진행한 결과를 기술하고 있다.
초판부터 두경부는 Oral cavity, Pharynx, Parynx, paranasal sinuses로 나뉘며, salivary gland, thyroid를 따로 분류하고 있다. 8판에서는 pharynx를 nasopharyngeal carcinoma(chapter 9), HR-HPV-associated(p16-positive) OPC(chapter 10), 그리고 hypopharyngeal and non-HR-HPV associated(p16-negative) OPC(chapter 11) 의 세 부분으로 다시 구분하고 있다.
| Edition | Publication Year | Effective Year |
| 1 | 1977 | 1978 |
| 2 | 1983 | 1984 |
| 3 | 1988 | 1989 |
| 4 | 1992 | 1993 |
| 5 | 1997 | 1998 |
| 6 | 2002 | 2003 |
| 7 | 2009 | 2010 |
| 8 | 2016 | 2018 |
(2) AJCC 8th edition – Head and Neck
8판의 대표적인 변화는 구인두암(Oropharyngeal cancer)에서 HR-HPV associated(p16+) cancer를 구분하여 병기를 나누고 있다는 것이다. 구강의 암(oral cavity cancer)의 경우에는 Depth of Invasion 을 병기에 포함을 시켰으며, 경부림프절 전이에서 extranodal extension(ENE)를 병기 구분에 포함시켰다. 또한 neoadjuvant therapy를 받은 환자의 경우 staging을 yc 혹은 yp를 이용한 별도의 staging을 하는 것을 추가하였다. 또한 API(Application Programming Interface)라는 시스템을 통해 staging manual 내용을 배포할 예정으로 있다.
1) Oral cavity cancer(OCC)
구강암에서의 T stage 개정은 DOI을 포함시켰다는 것과 T0가 삭제되었다는 것이다. 그동안 많은 연구에서 암종의 두꼐가 예후와 관련이 많다는 것이 알려졌다. 최근의 연구에서 DOI가 종양의 thickness보다 더 예측도가 높은 인자라는 것이 제안되었으며, 6판의 staging manual부터 DOI가 기록이 되어 분석이 가능하게 되었다. 의사의 임상적인 검사로도 less invasive(5mm 이하). Moderate depth(5 mm 초과 10 mm 이하), deeply invasive (10 mm초과)를 구분하는 것이 문제가 되지는 않는다. 병기 구분이 이제는 더이상 표면적인 크기만으로 구분되지는 않게 되었다. 병리적으로는 가장 가까운 정상 점막의 기저막 사이를 이은 선에서 가장 깊은 곳으로 수선을 그은 것으로 DOI을 표시한다. 병소에 따라 tumor thick ness가 DOI보다 클 수도 작을 수도 있다. 또한 T4에서 Extrinsic muscle의 침투가 기준으로 사용되지는 않는데 DOI에 의한 구분이 이것보다는 상위 혹은 더 중요하며, 근육의 침투를 임상적으로든 병리적으로든 평가하기가 쉽지 않기 때문이다.
T Category for Oral Cavity Cancer, 8th Edition Staging Manual
| T category | T criteria |
| TX | Primary tumor cannot be assessed |
| Tis | Carcinoma in situ |
| T1
|
Tumor ≤2 cm, ≤5 mm depth of invasion (DOI) (DOI is depth of invasion and not tumor thickness) |
| T2 | Tumor ≥2 cm, DOI >5 mm and ≤10 mm or tumor >2cm but ≤4 cm, and ≤10 mm DOI |
| T3 | Tumor >4cmor any tumor >10 mm DOI |
| T4 | Moderately advanced or very advanced local disease |
| T4a | Moderately advanced local disease: (lip) tumor invades through cortical bone or involves the inferior alveolar nerve, floor of mouth, or skin of face (ie, chin or nose); (oral cavity) tumor invades adjacent structures only (eg, through cortical bone of the mandible or maxilla, or involves the maxillary sinus or skin of the face); note that superficial erosion of bone/tooth socket (alone) by a gingival primary is not sufficient to classify a tumor as T4 |
| T4b | Very advanced local disease; tumor invades masticator space, pterygoid plates, or skull base and/or encases the internal carotid artery |
Regional Lymph Nodes Pathologic Category Criteria (pN)
| N CATEGORY | N CRITERIA |
| NX | Regional lymph nodes cannot be assessed |
| N0 | No regional lymph node metastasis |
| N1
|
Metastasis in a single ipsilateral lymph node, 3 cm or less in greatest dimension and ENE-negative |
| N2 | |
| N2a
|
Metastasis in a single ipsilateral or contralateral lymph node 3 cm or less in greatest dimension and ENE-positive; or metastasis in a single ipsilateral lymph node more than 3 cm but not more than 6 cm in greatest dimension and ENE-negative |
| N2b | Metastasis in multiple ipsilateral lymph nodes, none more than 6 cm in greatest dimension and ENE-negative |
| N2c | Metastasis in bilateral or contralateral lymph nodes, none more than 6 cm in greatest dimension and ENE-negative |
| N3 | |
| N3a | Metastasis in a lymph node more than 6 cm in greatest dimension and ENE-negative |
| N3b
|
Metastasis in a single ipsilateral node more than 3 cm in greatest dimension and ENE-positive; or metastasis in multiple ipsilateral, contralateral, or bilateral lymph nodes, with any ENE-positive |
Note that a designation of “U” or “L” may be used for any N stage to indicate metastasis above the lower border of the cricoid (U) or below the lower border of the cricoid (L). Similarly, clinical and pathologic ENE should be recorded as ENE-negative or ENE-positive.
림프절 전이의 상태는 예후를 결정하는 중요한 인자이다. 전이림프절의 수와 크기와 함계 Extranodal extension 은 또하나의 예후의 변수이다. ENE가 예후에 영향을 미친다는 연구결과는 오랬동안 있어왔고 p16 +, HR-HPV-associated OPC는 예외라는 것이 알려졌다. 현재의 영상자료로는 초기의 최소한의 ENE를 확인하는 데 한계를 가지고 있는 것이 사실이다. 영상에서의 증거들은 ENE가 있다는 뒷바침은 될 수 있으나 충분하지는 않다. 병리적으로 밝혀진 ENE는 전이된 암조직이 림프절의 fibrous capsule을 뚫고 주변 결합조직으로 확장된 것으로 정의된다. Minor ENE(ENEmi)는 capsule에서 2mm이내인 경우로 정의되고 major ENE(ENEma) 육안으로도 뚫고 나와 있거나 2 mm 이상의 경우로 정의된다. 이러한 구분은 현재로서는 향후 자료로서의 데이터 수집으로만 사용되며, 현재는 둘 다 ENE+로 정의된다.
2) Oropharyngeal cancer(OPC)
HPV-associated(p16+) OPC 의 경우 Tis와 T4b 항목을 삭제하였다.
| Human Papillomavirus-Associated (p16-Positive) | Non-Human Papillomavirus-Associated (p16-Negative) | ||
| T category | T criteria | T category | T criteria |
| T0 | No primary identified | ||
| Tx | Primary tumor cannot be assessed | ||
| Tis | Carcinoma in situ | ||
| T1
|
Tumor 2 cm or smaller in greatest dimension | T1 | Tumor 2 cm or smaller in greatest dimension |
| T2 | Tumor larger than 2 cm but not larger than 4 cm in greatest dimension | T2 | Tumor larger than 2 cm but not larger than 4 cm in greatest dimension |
| T3 | Tumor larger than 4 cm in greatest dimension or extension to lingual surface of epiglottis | T3 | Tumor larger than 4 cm in greatest dimension or extension to lingual surface of epiglottis |
| T4 | Moderately advanced local disease; tumor invades the larynx, extrinsic muscle of tongue, medial pterygoid, hard palate, or mandible or beyond | T4 | Moderately advanced or very advanced local disease
|
| T4a | Moderately advanced local disease; tumor invades the larynx, extrinsic muscle of tongue, medial pterygoid, hard palate, or mandible | ||
| T4b | Very advanced local disease; tumor invades lateral pterygoid muscle, pterygoid plates, lateral nasopharynx, or skull base or encases carotid artery | ||
Anatomic Stage and Prognostic Groups for Clinical TNM Grouping of Human Papilloma virus-Associated (p16-Positive) Oropharyngeal Cancer, 8th Edition Staging Manuala

Anatomic Stage and Prognostic Groups for Clinical and Pathologic TNM Grouping of Non-Human Papillomavirus-Associated (p16-Negative) Oropharyngeal Cancer, 8th Edition Staging Manual

Clinical N Category Human Papillomavirus-Associated (p16-Positive) Oropharyngeal Cancer, 8th Edition Staging Manual

3) Unknown primary
원발병소가 발견되지 않은 림프절의 편평세포암이 Biopsy에서 밝혀지는 경우가 많다. 이런 환자들은 T0로 분류되었으나 원발부의 해부학적 부위가 특정되지 않안다. 최근에는 이러한 T0환자의 90%가 HR-HPV-associated cancer 로 나타났다. 임상적으로 원발부가 밝혀지지 않은 모든 경부림프절의 SCC는 HPV-ISH(In situ hybridization), p16 immunohistochemistry, EBER(Empstein-Barr-encoded RNA)-ISH 검사가 추전된다. 따라서, 이전의 AJCC분류와는 달리 Nasopharynx, HR-HPV-associated OPC, 그리고, salivary gland cancer를 제외한 다른 부위에서의 T0 를 삭제하였다.
(3) 병기구분법의 구강암 데이터에서의 확인


Memorial Sloan Kettering Cancer Center-Princess Margaret Hospital Institutional data를 이용하여 7판 TNM 분류와 8판 분류를 사용한 환자의 overall survival rate의 비교, 8판의 병기 구분(우측) 으로 stage II와 stage III이 더 확실히 구분가는 것을 볼 수 있다.
References
- Amin MB, Edge SB, Greene FL, et al, eds. AJCC Cancer Staging Manual. 8th ed. New York: Springer; 2017
- Lydiatt WM, Patel SG, O’Sullivan B, Brandwein MS, Ridge JA, Migliacci JC, et al. Head and Neck cancers-major changes in the American Joint Committee on cancer eighth edition cancer staging manual. CA Cancer J Clin 2017; 67(2) : 122–137.
- Malm I-J, Fan CJ, Yin LX, Li DX, Koch WM, Gourin CG, et al. Evaluation of proposed staging systems for human papillomavirus-related oropharyngeal squamous cell carcinoma. Cancer 2017; 123(10) : 1768–1777.
- Lee C-C, Lin Y-S, Kang B-H, Chang K-P, Chi C-C, Lin M-Y, et al. Incorporation of log odds of positive lymph nodes into the AJCC TNM classification improves prediction of survival in oral cancer. Clin Otolaryngol 2017; 42(2) : 425–432.
- Mizumachi T, Homma A, Sakashita T, Kano S, Hatakeyama H, Fukuda S. Confirmation of the eighth edition of the AJCC/UICC TNM staging system for HPV-mediated oropharyngeal cancer in Japan. Int. J. Clin. Oncol. 2017; 18(Suppl 1) : 541–8.
구강암진료지침서 2016 권고안모음
구강암 진료지침서 2016
대한구강악안면외과학회와 구강암연구소에서 발행한 구강암 진료지침서의 2판에 나오는 권고안 모음.
제 1장 구강암의 통계와 역학
권고안 1-1 담배는 구강암 발병의 주요 위험 인자이다.
권고안 1-2 일반검진 및 치과 검진 시 각 환자의 전체 구강점막의 검사를 포함해야 한다.
제 2장 구강암의 진단
권고안 2-1 수술 도중에 모든 절단면을 검색하는 것은 현실적으로 어렵기 때문에, 신속동결표본진단(frozen biopsy)을 시행할 것이 추천된다.
권고안 2-2 악골의 침윤을 판정기 위하여 치근단 사진, 파노라마 X-선 사진과 CT를 기본으로 하되 주위 연조직의 진전을 판정기 위하여는 CT와 MRI를 사용한다.
권고안 2-3 촉진에 의한 경부임파절 전이 진단방법으로 유용하지만, 최종진단은 영상진단을 추가하여 평가하는 것이 필요하다.
권고안 2-4 CT나 MRI 에서 임파절 병기 결정이 어려운 경우,임파절 병기결정의 정확도를 향상시키기 위하여 US-FNA 혹은 PET-CT 를 촬영할 수 있다.
권고안 2-5 구강암의 원격전이를 평가하기 위하여 PET-CT, 흉부 방사선 검사 (Chest PA) 그리고 Bone scan 등이 이용되어 진다.
권고안 2-6 구강암의 재발이 의심되는 환자에서 CT나 MRI로 확인되지 않거나 감별진단이 어렵다면 PET-CT가 시행될 수 있다.
제 3장 전암병소
권고안 3-1 치과에서 정기검진시구강내전암병소를 포함한 점막병소의 검진이 포함되어야 한다.
권고안 3-2 흡연은 구강암의 위험인자이며, 구강내 전암 병소가 있는 환자는 금연하도록 권유해야 한다.
권고안 3-3 임상적 시진을 통하여 전암병소의 형태, 위치, 크기, 색깔등을 확인하고 기술한다.
권고안 3-4 구강 편평태선은 추적관찰이 필요하며 의심스러운 경우 조직검사로 확인하고, 동통이나 불편감이 동반될 경우 스테로이드를 사용할 수 있다.
권고안 3-5 구강 내 만성자극(보철물, 수복물, 치아 등)을 피할 수 있도록 치과 치료가 필요하다.
권고안 3-6 점막하섬유증은 악성 변이가 가능하므로 의심스러운 경우 조직검사 및 추적 관찰이 필요하다.
권고안 3-7 점막하섬유증이 진행되는 병변으로 보존적 치료에 반응하지 않고 개구 장애가 있을 경우, 수술적 치료를 고려한다.
권고안 3-8 구강 백반증은 조직검사후 중등도 이상의 이형성이 관찰될 경우 절제술 및 주기적인 추적관찰이 필요하다.
권고안 3-9 홍반증은 악성화할 가능성이 높기 때문에 외과적 절제술 후 정기적 추적관찰을 시행한다.
제 4장 구강암의 수술적 치료
권고안 4-1 구강암은 근치적인 절제가 가능하다면 수술이 우선 고려된다.
권고안 4-2 충분한 절제연을 확보할 있는 조기 구강암의 경우 구강내접근법으로 수술한다.
권고안 4-3 구강암의 절제술 후 일차 봉합이 불가능한 경우는 연조직 혹은 경조직 피판을 사용하여 즉시 재건하며 피판의 종류는 결손부의 크기 및 부피에 따라 결정되며 유리피판의 사용이 추천된다.
권고안 4-4 구강암을 제거할 시에는 최소 0.5-1cm의 절제연을 확보한다.
권고안 4-5 수술 중에는 안전 변연의 확보를 위하여 동결절편 검사를 시행하고 안전 절제연이 아닌 경우, 반드시 추가 절제를 통해 안전 절제연을 확보하여야 한다.
권고안 4-6 입술에 발생한 구강암의 외과적 절제시 안전역은 0.5cm으로 한다. 외과적 절제 후에는 심미적인 즉시 재건을 시행한다.
권고안 4-7 설암의 절제 후 발음과 저작 및 연하 곤란이 예측 되는 경우는 연조직 피판으로 재건한다.
권고안 4-8 치은암은 조기에 골침범이 가능하므로 골을 포함한 변연절제를 시행할 수 있다. 임상적으로 하악골과의 유착이나 골침윤이 확인되는 증례에서는 하악골을 함께 절제할 필요가 있다.
권고안 4-9 종양이 하악골에 근접하거나 경미한 침범이 있는 경우에 하악골의 연속성은 종양절제시 가능한 한 보존되어야 한다.
권고안 4-10 치은암이 T1이라면 변연절제의 적응증이 가능하다. T2, 3에서도 방사선학적으로 골흡수가 치조골부위에서 멈춘 경우나 골흡수형이 평활형의 경우에서는 변연절제가 적응증이 된다. 우식형의 경우 치조골부위에서 한정된 경우라도 골수강내에서의 암의 침윤이 예상되기 때문에 분절절제가 적응이 된다.
권고안 4-11 하악 변연절제술 후 골절의 위험을 줄이기 위해 두께를 적어도 1cm이상 남기고 절제면이 곡선이 되도록 한다.
권고안 4-12 하악분절절제술은 임상적, 영상학적으로 침습적인 하악골 침범이 있을 때, 하악관의 침범이 있을 때, 하악주위 연부조직에 광범위한 침범이 있을 때, 방사선 조사력이 있거나 충분한 하악 두께를 가지지 못하는 무치악 환자에서 시행한다.
권고안 4-13 구강내 접근법으로 충분한 절제연을 확보할 수 있는 경우 경구강 접근법을 시행하며, 경구강으로 제거하지 못하는 경우 pull through 혹은 mandibular lingual release 으로 병소를 제거 한다.
권고안 4-14 하악 변연절제술은 병소가 하악골에 근접하거나 미세한 침범이 있는 경우에 시행한다.
권고안 4-15 하악 분절절제는 병소가 하악골을 광범위하게 침범하였을 때(해면골 침범이나 하악관의 침범이 관찰되는 경우), 무치악 환자에 있어서 하악에 방사선 조사 병력이 있는 경우,무치하악환자에서 하악이 너무 앓아 변연절제술이 불가능한 경우, 하악기원 병소인 경우에 시행한다.
권고안 4-16 표재성 병소인 경우 병소만 제거 될 수 있으나, 정중부 근처에 위치한 진행된 병소는 양측성 경부청소술을 시행하여야 하며, 경부 절제한 조직과 한 덩어리로(en bloc) 제거해야 한다.
권고안 4-17 절제부위가 상악 돌기나 상악동의 하부벽을 포함하는 경우 하부구조 상악절제술(infrastructure maxillectomy)을 시행할 수 있다.
권고안 4-18 초기 협점막 암은 구강내 접근으로 수술 하며 제거 후 개구제한을 피하기 위해 피부이식이나 유리피판으로 재건한다.
권고안 4-19 진행된 협점막 암은 N0 라도 잠재전이 가능성이 높기 때문에 예방적 경부청소술을 시행한다.
권고안 4-20 점막과 점막하부에 국한된 초기병소는 협근을 포함하여 절제하고, 협근까지 침범한 경우 협부 공간을 포함하여 절제한다. 이 경우 술중 동결절편 검사를 통해 피하조직이 이환되지 않았음을 확인하고 침범한 경우 피부를 포함하여 절제한다.
권고안 4-21 이하선의 악성 종양 수술 시 안면 신경은 가능한 보존 하여야 한다.
권고안 4-22 타액선에 발생한 암은 수술적 치료가 우선한다.
권고안 4-23 타액선암은 병기가 치료를 결정하는데 중요하며 조직학적 분류 역시 치료에 많은 영향을 미친다.
권고안 4-24 골육종의 근본적 치료는 완벽한 절제를 전제로 한 수술이다.
권고안 4-25 골육종의 항암치료는 치료의 보조적 수단으로 고려할 수 있다.
권고안 4-26 골육종의 수술 후 방사선 치료는 종물 절제연의 결과에 따라 고려한다.
권고안 4-27 20% 이상의 림프절 전이 위험성을 가지는 구강암 환자들은, 예방적 경부치료(경부청소술 또는 방사선치료)를 시행한다. 또한 원발암 절제나 재건수술을 위해 경부의 수술이 행해지는 증례에서 적응증이 된다.
권고안 4-28 동측 예방적 경부청소술은 선택적 경부청소술을 시행하며, 이는 변형된 근치적 경부청소술 (mRND) 또는 근치적 경부청소술 (RND)의 결과와 차이가 없다.
권고안 4-29 반대측 예방적 경부 림프절 절제술은 T3이상의 진행된 임상병기, 중앙을 넘어선 원발부 종양, 동측이 N2b이상으로 치료적 경부청소술을 하는 경우에 시행한다.
권고안 4-30 의심스러운 경부임파절 involvement (cN+)가 존재할 때, 적절한 경부청소술이 시행되어야 한다. 일반적으로 변형된 근치적 경부청소술 (mRND)이 시행된다.
권고안 4-31 N+환자에서 level I 또는 II에 국한된 N1 일 경우에만 치료적 목적으로 level I-IV까지 선택적 경부청소술을 적용할 수 있지만 검토가 필요하다.
권고안 4-32 임상적 N1 질병을 위한 neck dissection이후, 보조적인 술 후 방사선 치료가 국소적 높은 재발 위험성을 가지는 환자에게 고려되어야 한다. N2나 N3 에 해당하는 환자는 다음 두 가지 방법으로 치료되어야 한다: 외부적 beam 방사선 치료 이후의 comprehensive neck dissection, 또는 comprehensive neck dissection이후의 radical 방사선 치료
권고안 4-33 구강암의 예방적 경부청소술시 level IIb는 술 후 척수부신경 합병증을 위해 생략할 수 있다.
제 5장 방사선치료 및 항암치료
권고안 5-1 “술후 방사선치료는 다음의 경우에서 구강암 수술적 절제후에 고려 되어야 한다.
– 구강원발성 종양
– 진전된 T병기
– 폐쇄또는 양성의 수술변연
– 신경침습
– 림프혈관성 침습
– 어떠한 양성의 림프절, 그러나 특별히 한 개
이상이 존재할때
– level 4 또는 5 부위에서의 양성의 림프절
– 3cm 또는 그이상의 어떠한 림프절
– 피막외 림프절 퍼짐
”
권고안 5-2 술 후 방사선치료는 가능한 수술 후 6주이내에 시작하는 것이 추천된다.
권고안 5-3 구강암에서 선행화학요법은 통상적인 사용이 추천되지는 않는다.
권고안 5-4 근치적 단독항암화학요법은 효과가 입증되지 않았다.
권고안 5-5 일차 CRT(primary CRT)는 절제할 수 없거나 수술을 견디어 내기 어려운 환자에서 고려해 볼 수 있다.
권고안 5-6 전이 림프절의 피막외 침범이 있는 경우와 절제연에 암세포가 양성이거나 절제연이 충분하지 않은 경우에는 동시항암방사선치료를 적극적으로 고려한다.
제 6장 구강암환자의 치료 전후 관리
권고안 6-1 원발부에서 국소재발이나 이차 원발암의 발생과 경부재발 및 원격전이 여부를 평가하기 위해 주기적인 추적관찰이 시행되어야 한다.
권고안 6-2 권장되는 추적관찰기간은 술 후 1년 까지는 1-3개월, 2년차에는 2-6개월, 3-5년차에는 4-8개월, 5년 이후에는 12개월마다 시행하는 것이 추천된다.
권고안 6-3 구강암 술 후 추적 관찰시 정기적 신체진찰, 임상적 필요성에 따른 영상검사(CT, MRI, PET-CT)를 시행한다
권고안 6-4 경부에 방사선을 조사받은 환자는 6-12개월마다 정기적인 갑상선 기능검사가 필요하다.
권고안 6-5 환자의 통증에 대한 호소는 반드시 그 원인을 조사하고, 적절한 치료가 이루어져야 한다.
권고안 6-6 환자의 체중은 수술 후부터 추적검사 기간 동안 관찰되어야 한다. 필요시 영양공급을 위해 식이튜브 요법(경관영양)이나 위절개튜브(gastrotomy)를 고려해야 한다.
권고안 6-7 방사선에 노출된 구강암 환자들에서 금기증이 되지 않는 한 잔존 타액선 기능을 위해 필로카핀사용이 추천된다.
권고안 6-8 방사선 치료가 시작되기전 치과 검진을 받고, 발치와 같은 침습적인 치료는 최소 2~4주전에 시행되어야 한다.
권고안 6-9 구강악안면부위에 방사선치료를 받은 환자들은 임플란트와 같은 침습적인 치료보다는 일반적인 보철수복을 통해서 저작능력을 회복시키는 것이 추천된다.
권고안 6-10 방사선치료를 받은 환자에서 발치나 잇몸 수술 등의 침습적인 치료가 필요한 경우 전문적인 치과진료를 받아야 한다.
권고안 6-11 구강암으로 수술이나 방사선치료를 받은 환자들은 지속적인 구강관리를 받을 수 있도록 한다.
권고안 6-12 구강악안면부위에 방사선치료를 받은 환자에서 고압산소요법은 발치 등의 외과적 시술시 방사선골괴사의 예방이나 치료를 위해 효과적으로 사용될 수 있다.
권고안 6-13 구강암 수술 후 연하장애 및 조음장애를 가진 환자들은 적절한 연하 및 언어치료를 받음으로써 기능을 최적화하고 흡인의 위험을 최소화하는 것이 필요하다.
권고안 6-14 구강암환자는 정신적, 심리적인 도움을 받기 위해 임상간호사나 정신과 의사 또는 사회복지사로부터 지원을 받는 것이 추천된다.
권고안 6-15 구강암 환자는 자신의 치료 후 경과관찰에 대한 설명과 수술 또는 재발과 관련된 통증이나 연하곤란, 출혈 등에 대한 교육을 제공받을 수 있어야 한다.
제 7장 말기암, 재발암, 잔존암
권고안 7-1 재발된 구강암의 경우 원격전이가 없고, 환자가 수술이 가능하며, 종양의 완전 절제가 가능하면, 구제수술(salvage surgery)가 우선 고려되어야 한다.
권고안 7-2 이전에 방사선치료를받은 환자가 절제할 수 없는 국소적재발을 보인 경우, 두번째방사선치료는 합병증발생의 위험성과 치료성공가능성을 고려하여 선택적으로 시행한다.
권고안 7-3 초기 절제 생검이 부적절하거나 절제연 양성이 나타난다면 재절제 혹은 술후 방사선 치료를 고려해야 한다.
권고안 7-4 완치될 수 없는 구강암에서는 환자의 전신상태와 삶의 질을 고려하여 화학적 완화치료를 시행할 수 있다.
권고안 7-5 완화 요법을 위한 화학요법시 지난친 독성이 예상되는 조합요법은 지양되어야 한다.
권고안 7-6 전이가 없지만 절제 불가능한 국소재발의 구강암 환자에서는 완화 목적의 방사선 치료가 고려될수 있다.
2017 사체해부연수회(Cadaver course for Oral cancer and reconstruction with microvascular free flap)
2017년 1월 20일에서 22일까지 서울성모병원에서 2017년 카데바 연수회가 열렸다. 구강악안면외과의사를 대상으로 neck dissection, microvascular free flap, flap raising 등에 대한 강의와 해부실습이 진행되었다.


2016 NCCN guideline ver2.2016
NCCN guideline for Head and Neck Cancers 2016 판의 2nd revision이 나왔다. 많은 변화가 있는 것은 아니라 구체적인 치료에 대한 표현이 바뀌었다는 느낌이다.


2016 구강암환자를 위한 스마일런페스티벌
2016 구강암환자를 위한 스마일런페스티벌
2016년 9월 11일(일) 오전9시 출발(오전8시집합)
장소: 뚝섬한강공원(예정)
참가부문:5km 걷기, 5km, 10km, 하프
기념품 : 에센시아 칫솔살균기
참가비:3만원(10km 3만5천원, 하프3만5천원)
지급품 : 기념품,메달,번호표,기록측정용칩(5km제외),대회안내책자
주 최 : 대한치과의사협회
후 원 : 동국제약, 대한구강악안면외과학회등
참가신청 : www.smilerun.co.kr
자원봉사시간 인정 : 미리 신청하면 4시간부여(홈페이지 반드시 참조)
여러분의 관심과 참여가 환자분들에게는 큰 힘이 됩니다^^

2017 International Academy of Oral Oncology
구강암 안내
구강암이란…
구강암은 주로 입안과 위, 아래턱과 그 주변부에 발생하는 암으로 입안의 점막에서 발생하는 편평세포암이 가장 흔합니다. 이외에 침샘에서 발생하는 침샘암, 육종등이 발생할 수 있습니다. 입안에 생기는 부위에 따라 혀에 생기는 경우 설암, 잇몸에 생기는 경우 치은암 등으로 불리기도 합니다.
보통 50-60대에 가장 많이 발생하는 것으로 알려져 있습니다.
구강암의 정확한 원인은 알려져 있지 않습니다. 일반적으로 구강암의 위험요인으로는 흡연, 음주, 바이러스, 방사선, 자외선, 식습관, 영야결핍, 유전적 감수성등이 거로되고 있습니다.
| 구강암의 일반적 증상 |
구강암은 다른 부위의 암과는 달리 대부분 육안으로 판별이 가능합니다. 따라서 병원에 구강암 검진을 위하여 정기적으로 내원하면 조기진단이 비교적 쉽습니다. 구강암을 가진 환자들의 주된 증상 중의 하나는 구강내의 병변으로 쑤시는 듯한 통증 때문에 병원을 찾는 경우가 많습니다. 그러나 초기 암의 경우는 통증이 없는 경우가 더 많기 때문에 통증의 유무가 구강암의 증상과는 반드시 연관선이 있는 것은 아닙니다.
- 입안이 헐었다.
혀나 볼점막, 입천장, 입술 등에 발생하는 궤양은 구내염 같은 염증성 병변이 가장 많아 1-2주 정도면 통증도 사라지고 궤양도 없어지지만, 3주 정도 지나도 없어지지 않는 궤양은 단순한 염증으로 보기 어렵기 때문에 조직검사를 받아보는 것이 좋습니다.
- 입안에 하얀 또는 붉은 병변이 있다.
구강내 점막에 지워지지 않는 백색 병소가 있는 것을 백반증이라고 하는데, 이러한 백반증이나 붉은 홍반증 등은 구강암으로 진행될 수 있는 병소로 필요한 경우 조직검사를 시행하여 정확한 감별을 시행하여야 합니다.
- 혀나 입안이 아프다.
통증은 초기암에 비해 진행암에서 많고 암조직에 염증이 심하면 2차적으로 통증을 유발할 수 있습니다. 하지만 입안에 생기는 많은 다른 질환들이 통증을 유발하기 때문에 감별이 필요합니다.
- 입안에 혹이 만져진다.
입안의 혹은 부위에 따라 암일 수도 있고 아닐 수도 있기 때문에 전문가의 진단이 필요합니다.
- 이가 갑자기 흔들리거나, 이를 뽑은 후 상처가 아물지 않는다.
잇몸질환(풍치)이 있을 경우 이가 흔들리지만, 전혀 증상이 없는 치아가 갑자기 흔들리면 암에 의해 잇몸이 갑자기 손상된 것일 수 있습니다. 또한 이를 뽑은 자리가 한달이상 아물지 않는 경우 검사가 필요합니다.
- 목에 혹이 만져진다.
구강암이 진행되면 주로 턱 아래의 림프절로 암이 전이되는데 이러한 경우 목에 혹이 만져지기도 합니다.
설암![]() |
치은암![]() |
구개암(입천정)![]() |
구강저암(혀아래)![]() |
| 구강암의 검사방법 |
구강암의 진단과 병기의 판정을 위해서는 아애의 검사들을 시행하게 됩니다. 조직검사에서 구강암으로 진단이 되면 구강암의 크기, 목 림프절 전이, 전신적 전이를 여부등을 검사하게 됩니다.
- 조직검사
- 방사선사진 검사
- 전산화 단층촬영 (CT 촬영)
- 자기공명영상(MRI)
- 핵의학 검사(뼈스켄)
- 목 초음파 검사
- 양전자방출 단층촬영(PET/CT)
전산화단층촬영 |
양전자방출 단층촬영 |
| 구강암의 병기 |
구강암의 진행단계를 나타내는 병기는 원발암의 크기나 목의 림프절 전이, 원격전이 여부에 따라 1,2,3,4기로 병기를 나누게 됩니다. 병기가 높아질수록 구강암이 진행된 정도를 나타냅니다.
| 구강암의 치료 |
구강암은 다른 암과 마찬가지로 초기에 발견될수록 기능장애도 최소로 하면서 완치의 가능성도 있습니다. 구강암 치료의 일차적인 목적은 암을 제거하고 재발률을 낮추는 것입니다. 또한 이와 함께 구강내 기능과 얼굴의 외형도 최소로 하고 음식을 먹고, 삼키고, 말하는 기능 등을 보존하도록 노력하고 있습니다.
구강암 치료방법을 결정하는 것은 병기, 연령, 전신상태, 결손부위 등을 고려하여 결정하게 됩니다. 수술이 가능한 경우 수술적 치료를 우선하게 됩니다. 진행된 암의 경우는 수술과 방사선 치료를 병용하여 치료하는 것이 완치율을 높일 수 있는 방법입니다. 약물을 사용하는 항암화학용법은 현재까지 구강암의 일차적인 치료방법으로 사용하지는 않으며, 부가적인 치료방법으로 사용되고 있습니다.
- 구강암의 수술
- 방사선 치료
- 항암화학요법
| 전완피판을 이용한 재건술
|
![]() |
| 구강암의 수술적 치료 |
구강암의 수술은 구강내의 암부위를 절제하고 필요한 경우 목의 림프절을 예방 혹은 치료적 목적으로 제거하거나, 구강의 재건술을 시행하여 말하고 먹고 씹는 기능 및 외관을 원래대로 유지하도록 시행됩니다.
- 암의 절제술
- 목의 림프절 절제술(경부청소술)
- 재건술
초기암의 경우 재건술이 필요하지 않지만, 광범위 절제술을 시행한 경우는 구강내 결손부의 일차 봉밥이 어려우므로 제거된 구강연조직을 대신하는 피부조직을 이식해야 합니다. 재건술에는 팔의 피부를 채취하는 유리전완피판술을 가장 많이 사용합니다.
또한 턱뼈가 연조직과 함께 절제된 경우는 주로 다리의 비골뼈와 피부를 이식하여 얼굴의 외형을 유지하기도 합니다.
입천장을 포함한 위턱뼈을 제거한 후에는 이식 수술보다는 특수틀니를 제작하여 기능을 회복하는 것이 보편적입니다.
| 방사선 치료 |
방사선치료는 수술과 함께 가장 많이 사용되는 치료방법입니다. 방사선 치료는 수술을 먼저 시행한 경우수술 후 4-6주정도 상처가 어느정도 치유된 후 시작하게 됩니다. 치료료기간은 1주일에 5회, 매일 방사선 조사를 하여 6-7주 정도 시행합니다.
| 구강암의 재발 및 전이 |
구강암의 병기가 진행될수록 재발의 가능성이 커지게 됩니다. 모든 사람이 재발하는 것은 아니지만, 일단 재발이 되면 대부분 수술 후 2년 내에 발생하게 됩니다. 이후에도 재발의 가능성은 있지만 시간이 흐르면서 가능성은 감소하기 때문에 보통 5년 정도 재발이 없었다면 일반적으로 암이 완치되었다고 생각합니다. 전이가 발생하는 경우가 있으며, 가장 흔한 부위는 폐이며, 그 다음으로는 간, 뼈 등이나 다른 모든 신체부뷔로도 전이가 될 수 있습니다.
재발암의 경우에도 조기에 발견하면 치료의 가능성이 높아져 정기적으로 내원하는 것이 가장 중요합니다. 환자의 상태에 따라 내원 주기가 다르지만 일반적으로 다음과 같이 권장하고 있습니다.
- 수술 후 첫 1년 : 1-3개월 마다
- 수술 후 2년째 : 2-4개월 마다
- 수술 후 3-5년째 : 4-6개월 마다
- 수술 후 5년 이후 : 6-12개월 마다





전산화단층촬영
양전자방출 단층촬영
