5월 26일 ~ 28일 오스템임플란트





2022년 2월 26일
삼성서울병원 구강악안면외과 동문학술집담회 및 입퇴국식이 있었다.
1994년 삼성서울병원이 개원하면서부터 계셨던 김창수 교수님께서 동문들의 존경을 받으시며 작별인사를 하는 자리를 가졌다.
일시 : 2022년 2월26일[토] 16:00-18:00
장소 : 삼성서울병원 암센터 중강당
사회 : 설정은
[동문학술집담회]
16:00 – 16:10 인사말씀 및 주요 참석자(OB제외, 외부인사/내부교수) 소개_팽준영교수님
16:10 – 16:30 주제발표1_14기 백채환_Moderator 팽준영교수님
– 디지털 임상 소개
16:30 – 16:40 질의응답
16:40 – 17:00 주제발표2_8기 임종환_Moderator 조문상원장님
– 임플란트 주위 질환의 처치(Management of Peri-implant diseases)
17:00 – 17:10 질의응답
17:10 – 17:30 주제발표3_SMC-OMFS 발전방안_팽준영교수님
17:30 – 17:40 질의응답
[삼성서울병원 구강악안면외과 동문 회장 선출]
진행 : 최영준 교수님
[입퇴국식]







Covid19은 많은 것을 멈추게 하고 잊어버리게 만들었습니다. 외부 활동을 멈추고 안으로의 내실을 다지는 시기가 될 수 있었을 것 같은데 의외로 외부 활동의 제한이 내부적인 활동도 멈추게 하는 효과가 있으리라고 생각하지 못했습니다. 멈춰버렸던 2019년의 시계를 다시 돌리는 준비를 시작해야 할 것 같습니다.
금요일은 날씨가 너무 좋았으나 토요일부터는 태풍이 올라오면서 강한 바람과 비가 뿌려지고 있다. 아이치가쿠인대학 메이조 캠퍼스는 학회 장소로 완벽한 시설을 갖추고 있었다. 밖으로 보이는 나고야 성은 첫날의 맑은 날씨와 함께 그림같은 풍관을 창밖으로 그려 놓았다.
내년에 러시아의 상페테스부르그에서 열려 러시아 의사들이 많이 참석하였고, 제 59회 Japanese teratology society의 학술대회와 겹쳐 일본의 성형외과선생님들과 구강외과, 교정과 선생님들이 많이 참석을 한다. 일본의사들의 발표내용은 역시 컨텐츠의 측면에서 훌륭하다고 생각이 들었지만, 그 후에 이어지는 영어 discussion은 토론이 불가능할 정도였다. 그나마 일본사람들이 영어를 잘 못해서 다행이지 영어까지 잘 했으면 우리가 어떻게 따라 가나 하는 걱정이 들게 만들었다.
학회의 organization은 PCO없이도 빈틈없이 준비가 되었다. 부럽기도 하고..
내후년 2021년 서울에서 있을 ICPF의 준비를 이정도로 할 수 있을까 하는 생각도 들고, 최근의 한일 관계를 생각하면 질 수없다는 생각도 들면서 머리가 복잡해 지는 것 같기도 하다. 


Total TMJ replacement as another implant in maxillofacial area : Part II – Surgical Technique
서론
인공턱관절 치환술은 외과적으로도 안정적인 수술 결과를 보여주고 있다1-4). 턱관절의 수술은 여러가지 면에서 난이도를 가지고 있는 수술이다. 인공 턱관절은 CT 데이터를 이용하여 환자의 결손부에 적절하게 디자인하는 customized device와 미리 정해진 크기의 관절장치를 이용하는 stock device 로 나뉘어진다. 환자의 해부학적인 구조에 따라 맞춤형 장치를 쓰는 것이 이상적이기는 하지만 환자의 해부학적 인 차이가 크지 않으며, 반드시 미리 계획을 하지 않아도 수술 시 필요에 따라 선택할 수 있고, 비용적인 측면에서 장점을 가진다고 할 수 있다는 측면에서 stock device는 장점을 가진다고 할 수 있다5). 우리나라에서는 현재 stock device만 허가를 받아 사용할 수 있는 상태이다. 인공턱관절의 수술은 관절와 부분의 삽입과 과두부분의 삽입을 위한 외과적 접근으로 이루어진다. 관절부의 접근을 위해 전이개부절개가 주로 이루어지며, 과두부의 삽입을 위해서는 하악 후방 절개가 사용된다. 외과적 술식에 동반된 합병증으로는 안면신경의 손상과 수술 후 감염이 가장 주된 합병증이다. 본 종설에서는 stock device 를 이용한 수술과정에 대해 설명할 예정이다.
인공턱관절 수술의 적응증
인공턱관절치환술의 적응증은 말기 턱관절질환이라고 할수 있다. 턱관절강직증, 선천성질환, 턱관절의 괴사, 재건할 수 없는 하악과두의 골절, 골관절염 등으로 인하여 더 이상의 다른 방법으로 과두와 관절의 기능을 회복할 수 없을 경우에 인공턱관절을 사용하는 것을 고려할 수 있다(Table 1). 2012년 7월 1일부터 가. 다른 치료에 반응하지 않는 악관절 강직 (섬유성 또는 골성), 나. 외상, 골흡수, 발육성 기형이나 병변 등에 의한 하악 고경(vertical Mandibular height)이나 교합관계의 소실, 다. 이전 재건 수술들의 실패 (Failed previous reconstruction surgeries of TMJ)의 경우에 의료보험의 급여를 인정하게 되어 환자의 부담이 많이 줄어들게 되었다. 하지만, 인공관절이 모든 턱관절 질환의 최후의 해결책이 될 수는 없다. 환자가 감염증을 가지고 있거나, 턱관절의 해부학적 원인이 아닌 저작든 등의 원인에 의한 안면통증을 가지고 있는 경우, 환자가 수술 후에 관절운동이나 재활운동을 위한 지시에 따를 수 없는 경우 등 여러가지 이유로 턱관절 치환술이 어려운 경우도 있다(Table 2). 턱관절치환술을 통해 환자의 이상적인 관절상태를 회복할 수는 없지만, 치환술을 통해 얻어지는 기능회복의 정도는 1) 약 30-35 mm의 개구량, 2) 60-70% 정도의 통증 감소 3) 60-70 % 정도의 저작기능의 회복을 목표로 한다6).
Table 1. The indication of total TMJ alloplastic replacement
Table 2. Contraindication of total TMJ alloplastic replacement
외과적 술식
외과적 술식은 다음과 같은 순서로 이루어진다.
전이개 절개 및 턱관절부의 제거
전이개 절개를 통하여 턱관절에 접근을 시행한다. 안면신경의 손상을 방지하기 위하여 되도록이면 후방에서 접근하도록 한다. 접근 초기에 superficial temporal artery는 결찰을 하도록 한다. 주로 턱관절 강직증의 경우 골성 강직으로 유착된 골조직을 제거하는 것을 먼저 시행한다. 골성 강직증의 경우 층분한 양의 골을 제거해야 한다. 과두부는 원래 환자의 관절와보다 더 아래에 위치하기 때문에 관절와부가 들어가고 과두부의 굴곡부위를 포함하기 위해서는 최소 2 cm정도의 공간이 필요하게 된다. 한번에 충분한 양의 제거가 힘들 경우 두번에 제거하는(two-step osteotomy) 방법을 사용한다. 턱관절부의 제거시에 관절의 내측에 위치하는 interanl maxillary artery와 middle meningeal artery 혹은 deep temporal artery 같은 출혈을 일으키기 쉬운 혈관에 대한 손상을 방지하도록 노력한다. 여러번 수술을 받은 환자의 경우 혈관주변의 반흔이나 섬유화로 인하여 손상이 일어나기 쉽기 때문에 주의를 요한다. 과두부를 절제할 때는 충분히 하방에서 절제하여야 삭제하는 골의 양이 적어진다. 외측의 골은 round bur나 fissure bur를 이용하여 90% 정도 절제하고, 나머지는 기구 중 T-bar osteotome을 이용하여 분리 하도록 한다. Piezo surgery기구를 이용하여 내측의 절제를 하기도 하여 내측의 연조직 손상을 최소화 시키는 것이 필요하다. 절제된 부위는 bone holding forcep등으로 잡고 external pterygoid muscle을 박리하면서 제거해 낸다.

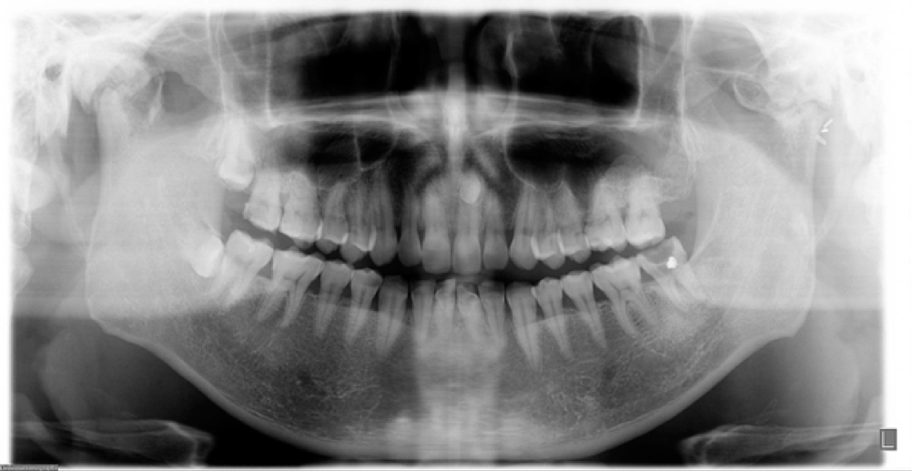
Fig. 1 양측 턱관절 강직증으로 개구량 15 mm의 개구제한
하악지의 노출
하악후방 절개를 통하여 접근을 한다. 후방 절개를 하기전에 Intermaxillary fixation을 시행한다. 주로 흉쇄유돌근의 앞쪽에 근육에 평행하게 수직으로 절개가 가해진다. 안면시경의 marginal branch 는 전상방으로 견인하도록 한다. 교근과 내측익돌근을 노출시키고, antegonial notch에서 하악 후연의 하방 1/3정도의 aponeurosis를 절개한다. 근육의 골막하박리를 통해 하악골을 노출시킨다.
관절와의 형성
관절와의 형성은 diamond reciprocating rasp을 이용하여 시행한다. 관절융기를 편평화 하는 작업으로 관절와부를 하부의 골에 안정적으로 “tri-pod” stability를 얻도록 만들어 준다. 관절와부를 편평하게 하고 난 다음에는 관절부의 템플레이트를 이용하여 small, medium, large의 크기 중에 적절한 크기의 관절와부를 선택한다. 관절와의 평면은 Frankfurt horizontal line과 평행한 것이 좋다. 우선 7-9 mm 정도의 2.2 mm 나사를 2개 정도 관골 부에 고정을 하고 고정을 하고, 과두부와의 관계를 확인한 후 4개 이상의 나사를 최종적으로 고정한다.
하악지부의 형성
노출된 하악지에 과두부의 템플레이트를 넣어보아 45, 50, 55mm의 과두부 중에 적절한 크기를 선택한다. 하악지의 넓이와 굴곡에 따라 standard 혹은 narrow type의 과두부를 선택한다. 템플레이트와 하악지 사이에 조기 접촉부가 있을 경우 다이아몬드 버나 라습을 이용하여 편평하게 만들어준다.
과두부는 관절와부의 중앙부보다 후방에 위치하는 것이 관두부가 걸리거나 pseudo-translation을 허용하여 더 많은 개구량을 얻을 수 있다. 과두부는 우선 8 – 10 mm 길이의 두 개의 2.7 mm 나사를 이용하여 고정하고, 구강내에서 교합을 확인하도록 한다. 개구시 탈구가 일어나지 않는지도 확인한다7). 그 후 구강내에 들어갔던 수술장갑는 갈아 낀다. 교합이 확인되면 최종적으로 4-6개의 나사를 이용하여 견고 고정을 시행한다. 더 많은 나사를 사용살 수록 나사에 가해지는 부하는 분산되게 된다8). 나사는 설측 피질골을 포함하는 bicortical fixation이 추천된다. 이 때 하치조신경을 손상시키지 않도록 위치를 선정할 필요가 있다.
봉합시에는 층별로 잘 봉합을 해 주며, 음압 드레인을 넣어 혈종이 차는 것을 방지하도록 한다.

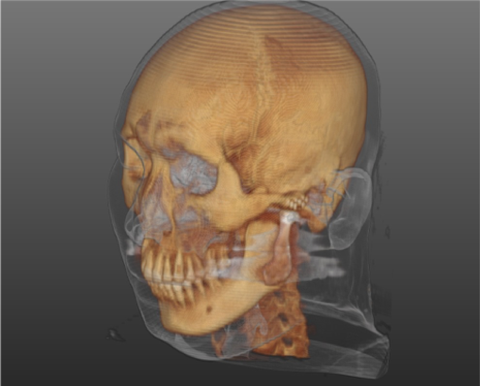
Fig. 2 Postoperative 3D reconstructed CT with TMJ prosthesis, 최대 개구량 30mm
외과적 합병증
수술 후에 발생할 수 있는 합병증으로는 감염, 기계적 파절 등 Table3과 같은 합병증을 생각해 볼 수 있다.
Table 3. Postoperative complications
수술 후 감염이 가장 우려되는 합병증 중의 하나이나, Mercuri등에 의하면, 3,368개의 인공관절 수술에서 51개의 감염이 보고되어, 매우 낮은 감염율(1.51%)을 나타내었으며, 이 중 32개의 관절을 제거하였다고 고보하였다9). Giannakopoulos은 442개의 인공관절을 이식하여 14개의 관절이 감염되었다(3.2%)고 보고하였다10). 보통 화농성의 배농이 되거나, 피부밖으로 sinus tract 이 생기는 경우가 인공관절의 감염증상으로 나타난다. 급성의 경우 절개 및 배농을 통하여 드레싱을 하는 경우 조절이 가능한 경우11,12)도 있으나, 3주 이상의 만성의 감염인 경우 인공관절부를 제거하고, two-stage replacement를 시행하기도 한다. 수술 후 감염을 예방하기 위한 방법으로 수술전에 예방적 항생제를 사용하고, 구강내 타액등에 의해 오염되는 것을 철저히 막고, 수술시간을 줄이며, 수술 후의 항생제 사용등이 추천된다. 다른 일반적인 구강악안면외과 수술과의 차별이라면, 구강내 타액에 수술부위가 오염되는 것을 막을 수 있도록 신경을 쓰는 것이라고 할 수 있다. 인체내에 들어간 인공 보철물의 경우 만성감염으로 가는 것은 세균에 의해 형성된 biofilm 때문인 것으로 생각된다. Biofilm이 형성되면 항생제가 세균에 도달하기 어렵기 때문에, 기계적으로 biofilm을 제거해 주지 않는 이상 절개 및 배농과 항생제 사용의 기존의 방법만으로는 감염증을 조절하기 어려워진다. Wolford는 소독된 칫솔과 베타딘 용액을 이용하여 스크럽을 함으로써 기계적으로 biofilm을 제거 하는 것을 추천하였다13).
인공관절의 파절 같은 기계적인 합병증은 아직 까지 보고되지 않았다. 수술 후의 부정교합이 발생할 가능성이 있다. 악간 고무줄을 이용한 교합의 가이드를 통해 수술 후의 교합을 유도할 수 있다. 수술 후 가두부의 dislocation 이 발생할 수 있다. 특히 coronoidectomy를 시행한 환자에서 관찰 될 수 있는데, 수술 후 너무 과도한 개구 운동은 피하도록 하는 것이 과두부의 탈구를 예방하는 방법으로 추천되기도 않다14).
Tashkent는 겨울과 여름이 우리나라 만큼이나 다른 느낌이다. 여름에서 가을로 넘어가는 이 시기는 겨울에 왔을 때의 삭막함을 완전히 잊어버리게 만들고, 타슈켄트도 살기에 괜찮겠다는 생각이 들게 만들었다. 8월 28일부터 9월 2일까지 진행된 일정에서 하악 수술 2명, 양악 수술 1명을 진행하게 되었다. 다른 병원, 다른 나라에서 하는 수술은 언제나 예상하지 못한 일이 벌어진다. 작년에 부족했거나 좀 더 개선하겠다고 생각했던 것을 보완해 와서 문제가 없었으나, 작년에 문제가 없었던 장비가 올해는 작동이 잘 되지 않아 첫 수술에서 애를 먹었다. 이렇게 제한된 환경에서 수술을 하고, 어려움 속에서도 수술이 잘 마무리 되는 것을 보면, 스스로 문제해결 능력이 배가되는 느낌과 함께 전투력이 상승하게 된다는 기분에 뿌듯한 생각이 들기도 하지만 좀더 생각을 많이 해서 준비해야 겠다는 아쉬움도 가지게 된다.
이번에는 Dilshod의 집에 초청되어 갔다. Dilshod의 아버지는 같은 TSDI의 교수 및 부총장으로 있고 구강악안면외과 의사이다. Dilshod의 어머니는 같은 병원 교정과 교수이시고, 동생은 Tashkent Medical Academy를 올해 졸업하고 구강악안면외과를 전공하고 싶어한다. 여동생도 Tashkent Medical Academy를 졸업하고 안과 레지던트로 있으며, Dilshod의 부인은. TSDI의 학생이다. 온 집안이 의사집안이다. 이곳의 의사는 경쟁도 많이 않고 어려움 없이 본인의 직업을 유지할 수 있어 우리나라 보다는 경쟁이 덜한 편이다.
우즈베키스탄의 가정은 우리의 눈에는 매우 행복해 보이고, 우리를 손님으로써 많은 배려를 해 주는 모습에 따뜻함이 전해졌다. 분명히 누가봐도 우리가 다 먹지 못하고 남을 것이 분명할 것 같은 정도로 많은 음식을 준비하고 있었다. 그래야만 초대한 사람의 예의를 다 한다는 문화가 있어서 인지는 모르겠으나, 우리나라에서 이제는 누구를 집으로 초청하는 것이 호스트나 게스트 모두에게 부담스러운 일로 여겨져 집에 초청하는 것이 친척이외에는 삼가하는 일 중의 하나가 되어 가는 것과 비교한다면, 약간은 부러운 문화라는 생각이 든다.




2018년 5월 18일 Tashkent State Dental Institue에서 Dr. Dilshod Dusmukhamedov의 박사학위 논문심사가 있었다. 우즈베키스탄에서는 박사학위를 받기 위해서는 dissertation public defense라는 것을 한다. 1시간 반정도 진행되는 심사에서
의 과정을 통해 박사학위 논문 통과가 결정된다. 우즈베키스탄 뿐 아니라 구소련 지역에서는 이런 과정을 거친다고 한다. 이 행사에는 전문가 뿐 아니라 일반인도 참석할 수 있으며, 가족, 친지들도 참석을 한다. 형식적으로는 공개된 자리에서 자신의 연구를 발표하고 질문을 받는 것이기 때문에 통과되는 것이 더 명예롭게 느껴질 수도 있는 큰 행가라고 생각된다. 하지만, 많은 친지들이 참석한 자리에서 통과되지 못한다든지 하는 불상사가 발생하는 것이 어려워 어떻게 보면 요식적인 행사가 될 가능성도 있다고 볼 수 있다. 항상 그렇지만, 제도차체보다는 이를 운영하는 사람과 학문적 분위기가 더 중요한 것이라고 할 수 있다. 우리나라의 심사제도도 심사과정에서 논문이 통과되는 비율이 그리 높지 않다는 것을 생각하면, 어느것이 더 나은지는 잘 판단이 서지않지만, 어쨌든 여기의 문화가 학위나 학문적인 성취를 사회적으로 더 높게 평가하고 있다는 느낌이 들기도 한다. 우리나라가 학위가 넘쳐나서 그 가치가 높게 평가되지 않는 것을 생각하면, 약간은 부러운 느낌이 들기도 하는 자리이다.
어쨌든 이 자리에서 내가 그래도 opponent로 초대받아 speech를 하고, 그간의 교류덕분으로 명예교수를 수여받은 것은 나 자신으로서는 영광스러운 자리라고 생각된다.





2018 대한구강악안면외과학회가 서울아산병원 강당에서 4월 26일에서 28일까지 열렸다. 병원 동관 6층에 자리 잡은 학회장은 독립된 학회장보다 외부에서 보기에는 규모가 적어 보일 수 있으나, 좁은 만큼 내실있는 학술대회였다고 할 수 있다. 일본, 대만에서 많은 참가자가 있었고, 미국, 독일에서 해외 연자도 참석하여 자리를 빛내 주었다. 구강암, 악안면재건, 조직공학, 턱교정 등등 이제는 주제가 너무 다양하여 한 사람이 모든 것을 다 하기는 힘든 상태가 되었다. 연구주제도 다양하고, 앞서 있다는 생각이 들어 어느 외국학회보다 알차다고 할 수 있을 것 같다.








초음파는 다양한 영역에서 임상의에게 유용하게 사용되고 있다. 악안면영역에서도 턱관절과 타액선, 목 등의 다양한 질환에서 유용성이 잘 알려져 있다. 본 연수회를 통해서 이런 다양한 활용에 대해 임상적 경험을 나눌 수 있을 것으로 기대된다. 특히 초음파는 다른 영상과는 달리 임상적으로 환자를 진료하면서 바로 같이 영상을 확인하는 것이 장점이자 특징이라 핸즈온 연수회가 가지는 의미가 크다고 할 수 있다.
